1. Agatston coronary calcium score 3, placing the patient at very high risk for future cardiac events based on age and gender (>94th percentile).
2. Triple-vessel atheroma burden, with borderline moderate stenosis in mid RCA and proximal LCx. Minor to mild stenosis elsewhere.
Sitting in my cardiologist’s office reading that summary, it was not the news I was expecting. All these tests were meant to be precautionary, a journey to a “yep you’re fine” outcome, simply confirming that nothing untoward was occurring. I didn’t expect bad news. I’m a clean-eating, clean-living, hard-working endurance athlete. What does that even mean for me now?
Let’s take a step back for a moment…
At my initial appointment, my cardiologist booked me in for a full rack of scans. I had to push a little to get them, as he classified me as one of the “worried well” or people with no symptoms, who are worried they may be ill. My diet and lifestyle are all low-risk for heart disease and at “only 41” I’m below the usual age to start any of these tests. I present in perfectly good health!
I told him I wanted the lot, so he booked me in for a Coronary CT Angiography (CTCA) with Calcium Score. The scan itself was a relatively quick, non-invasive procedure. I had to take a tablet (Ivabradine) that reduced my resting heart rate, and have a cannula in my arm to inject the contrast dye. After “taking the red pill” I tracked my heart rate dropping from it’s usual 55-60bpm resting rate, to a baseline of 45bpm (possibly lower but I stopped watching the monitor). While this was happening the nurse inserted the cannula needle into my arm.
Once I’d settled, they slid me into the whirring machine of wizardry. Some magnetic whirring, a “wet your pants” warm sensation when the contrast dye entered my veins, some more whirring, then we were all done.
Fast forward around a fortnight, and I had my follow-up with the cardiologist.
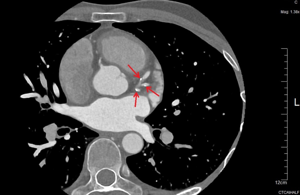
Plaque. It’s not just on teeth.
Coronary artery disease starts when cholesterols or other fatty deposits stick on the walls of the arteries in the heart (atherosclerosis). The build-up is generally called plaque. This build-up of plaque can cause the arteries to narrow, blocking blood flow. The plaque can also burst or break away from the wall, leading to a blockage (blood clot in the arteries). It’s serious business. Here’s one image from my CTCA scan:
I have a number of these white “hard” calcium deposits. There is some strong evidence in studies of endurance athletes that long-term endurance training can lead to an elevated level of plaque build-up. These deposits in athletes do tend to be “harder” and more solid, which means that although they can narrow the arteries, they are less likely to break away and cause a total blockage.
While they’re not nothing to worry about, these harder calcium deposits “don’t carry the same meaning in endurance athletes as they do in non-athletes.”
So, what does this mean for me?
Some of these hardened plaque build-ups may have been caused by years of endurance exercise, while some may simply be a genetic predisposition. Combined with my high cholesterol (likely 100% genetic) it puts me in a fairly high risk group for future “cardiac events” considering my age.
In the short-term, my cardiologist wants to bring my cholesterol level, especially my LDL, right down. On my last test you may recall it was 3.8 (above 2.0 is high). He would like to see it in the 1.x range.
To do this, he’s prescribed me a Statin. Rosuvastatin to be precise, starting on a 10mg dose and building up to the full 40mg dose over the next few weeks. Statins lower cholesterol and can also stabilise plaque already on blood vessel walls. They aren’t without their side-effects though, some users report increased muscle soreness, weakness, and headaches.
He’s also given me a blood pressure lowering medication. While my blood pressure isn’t high, he wants me to keep an eye on it and keep it low. Each morning I need to take my blood pressure, then if it’s above a certain value, take a Candesartan tablet.
While none of the above was news I wanted to hear, there’s not a lot I can do about that. In life, you’ve simply got to play the hand you’ve been dealt. See that guy above in the white PMM kit? That’s Nigel. He had a HUGE cardiac arrest at the end of a club ride a few years back. A real life and death situation. He’s back riding with us now, although only after a long, hard-fought recovery and with the help on an eBike.
So, what does this mean for YOU?
If you’re still reading this I’m going to assume to do a fair amount of exercise. That is of course a great thing – BUT – it doesn’t mean you’re invincible. If you also have any family history of heart disease, haven’t had your cholesterol checked, or are over 40, get yourself down to your local GP.
At least get the blood tests done. They’re quick and easy, and will give you a good indicator of your heart health and overall health. It may just prolong your life. Yes, everything may come back perfectly normal, but at least then you’ll know for sure.




Same result as mine, without the endurance effect, oh, and the clean living 😉 Statins work really well and I’m now completely discharged by the cardiac team that I was initially referred to. Keep taking the tablets, keep an eye on your cholesterol levels and keep fit. I’m sure you will be happy and healthy for many more years 💪
LikeLiked by 1 person
Thanks man, good to know! 👍
LikeLiked by 1 person
Clicking ‘like’ doesn’t exactly pass on the intended message .. Take care and wishing you all the very best.
LikeLiked by 3 people
Not good news but at least you now know. My BP is creeping up so I’m sure I’ll be put on Statins etc at some stage. It’s the muscle weakness side effect that I’m not keen on in case it affects my ability on the bike – not that I compete any more. Be interested to hear if you feel if the meds affect your performance?
LikeLiked by 1 person
I’ll keep you posted. I’m working my way up to the full dosage over the next four weeks.
LikeLike
Wise words! As a routine part of French health system, we get 6-monthly blood tests. Prevention is better than cure.
LikeLiked by 1 person
Wow, brother. Whatever comes of this, I’m hoping the worst is that you have to slow the training train down and you get to experience the more enjoyable side of simply riding at a moderate pace. Maybe see if your wife will ride a tandem with you… you know it’s done wonders for us!
LikeLiked by 1 person
We’ve often thought about getting a tandem, but the roads around here aren’t the best for tandem riding (plus we’d likely need a bigger car). Whenever we holiday somewhere we always try and hire a tandem to explore on. It’s great fun that’s for sure!
LikeLiked by 1 person
Co-Motion Kalapuya… It’s their top-end gravel bike tandem… takes up to 45s! 1Up bike rack, it takes a tandem like a single bike on the back of the vehicle. Problems solved!
LikeLiked by 1 person
I wonder if I can get it with an eBike kit? My rear admiral lacks a little in the wattage department! 😂 (but is great at handing up snacks)
LikeLiked by 1 person
You can, and if you’d rather the high-end version of the gravel bike over the flat-bar eBike, you can convert them now. That’s practicality speaking there. Reality is, I’d rather go a little slower with my wife than ride without her. Tandems done right is like a date on a bike!
LikeLiked by 1 person
Yeah, I didn’t want to “like” this, but I have to look at this as good news is the doctor has found this prior to an event. Managing health with medication is something I don’t yet need. Due to age, my blood gets checked every year. The last check was a little more than a month ago. All good. I was in for some skin checks and had a few moles frozen off. My summer riding has been horrible in there have been few rides and fewer miles. A couple of colds thanks to grandson’s schooling, but I’ll take it for the opportunity to spend so much time with him. As soon as this current cold burns itself out in about a week, I’ll be back on the bike wearing that retire flat across the middle.
When I retired I was urged by cycling buddies who had, just had heart events in both of their lives. So, I spoke to my doctor and scheduled a test. They were pleased and slightly surprised.
I keep a sharp eye out with the help of my doctors. I can get out and sweat for a couple of hours a day for a few days in a row at this point. I still keep a goal of riding every day in a week. And one day get to where I was just on the threshold of that would have my regular ride being a 100km with hills. I’m not fast, I’m not a racer. I’m training to drop weight, add fitness, work my balance and most importantly it is absolutely fun.
I hope your medications proceed well and your health is managed and you can still get that fun out of cycling.
LikeLiked by 1 person
Thanks for the support. It’s been strange news to hear as I feel 100% and have been hitting good numbers on the bike. Hope you’re up and feeling back to full health shortly.
LikeLike
Well said! Good luck with the statin. If you do get unpleasant effects, different statins have different effects on different people, so there are options. I loved your description of the contrast dye. I hadn’t thought about it that way but remembered the feeling instantly. And remember – probabilities are not certainties. I was once told, based on a series of tests, that I had a >60% chance of having cancer and the doctor told me his gut feeling was that I had it. He was wrong and the low end of the odds prevailed. (But you beat me with the 94th percentile ;)
LikeLiked by 1 person
Thanks. 🙂 We’ll see how things go with this Statin. My cardiologist did say there were other Statin options if this one doesn’t play nice with me. Early days yet of course, plus it’s good that I’ve caught this early and can get on top of it.
The elderly guy going in for the scan after me was SUPER worried about actually wetting his pants. I had to reassure him that I didn’t and he’d be fine! 😆
LikeLiked by 1 person
Just read through your series on your health checks, such a scary and brave step to get checked out. Sounds like you have done all the right step in catching it very early.
In no way is this medical advice; more just an interesting investigation project. CoEnzyme Q10 has always been floated around as helping with muscle weakness associated with statin usage. Evidence as far as I am aware is very inconclusive more of a theoretical hypothesis. Would be interesting to see if any studies out there in its use with endurance athletes taking statins. Some of the cardiologists are mad sports/health junkies so they probably already have done the research and have the answer.
https://www.ncbi.nlm.nih.gov/pmc/articles/PMC3096178/
Stay safe and see you out on the road turning pedals.
LikeLiked by 1 person
Thanks Justin! I’ll look into it. Hopefully catch you this Sunday if the weather plays ball.
LikeLike
Glad you followed through. I’m in the same boat but couldn’t tolerate any strain. My cardiologist switched me to an injectable med and all is well. The cardiac calcium score was not one I wanted to be in the 99th percentile.
LikeLike